Lacunar strokes quietly damage small blood vessels deep in the brain, slowly stealing mobility, clear thinking, and the ability to live independently. Many adults over 60 dismiss subtle changes as normal aging, yet these small events can accumulate and lead to serious loss of freedom. Recognizing the early lacunar stroke warning signs gives you a chance to act before the damage becomes irreversible—and one sign in particular is missed by nearly everyone.

đź§ Why Lacunar Strokes Are So Easy to Miss
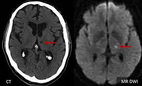
Lacunar strokes happen when tiny arteries—sometimes no wider than a hair—become blocked deep inside the brain. Unlike larger strokes, lacunar strokes often produce no dramatic symptoms at first. Research published in journals like Stroke and Neurology shows that 20-30% of adults over 60 have evidence of silent lacunar strokes on brain imaging, even when they feel perfectly fine.
Over time, repeated lacunar strokes create small cavities in critical areas such as the basal ganglia, thalamus, and white matter tracts. The gradual buildup can affect walking, balance, memory, and bladder control—robbing people of confidence and daily independence without any obvious alarm bells.
But here’s what most people don’t realize…

⚠️ The 7 Lacunar Stroke Warning Signs Most People Ignore
These lacunar stroke warning signs are specific patterns that neurologists recognize as red flags for small-vessel disease.
#7 Sudden burning or stabbing pain on one side of the body
A sharp, electric, or burning sensation in one foot, hand, or along one side can feel unbearable—even light touch becomes painful. This central pain syndrome can follow a lacunar stroke in the thalamus. Studies show 8-12% of stroke survivors develop this chronic pain, yet many spend months searching for answers before a brain scan reveals the true cause.
#6 Severe abdominal or flank pain with negative tests
Sudden intense abdominal pain that mimics kidney stones or appendicitis—but all tests come back normal—can actually stem from disrupted pain pathways after a lacunar stroke. Though rare, this presentation delays diagnosis while the underlying small-vessel damage continues.

#5 Sudden weakness or clumsiness in one arm or leg (even brief)
Dropping objects, trouble buttoning shirts, or a heavy feeling in one limb that improves quickly is classic for lacunar strokes affecting motor pathways. These transient episodes are often brushed off as fatigue, yet they signal active risk.
#4 Progressive balance problems and unexplained falls
This is the lacunar stroke warning sign nearly everyone attributes to “just getting older.” Shuffling steps, difficulty turning, freezing while walking, and frequent near-falls point to vascular parkinsonism caused by multiple lacunar strokes in the basal ganglia and white matter. Research in Movement Disorders estimates up to 30% of parkinsonism cases in older adults are vascular in origin—not typical Parkinson’s disease.
#3 New or worsening urinary urgency and incontinence
Suddenly needing the bathroom every hour, waking multiple times at night, or having accidents can be deeply embarrassing. Lacunar strokes that damage frontal-brain connections to the bladder disrupt normal control. Studies show significantly higher rates in people with extensive small-vessel changes.
#2 Slowing thinking, concentration difficulty, and personality shifts
Trouble planning, reduced focus, and emotional flattening appear gradually. Unlike Alzheimer’s, vascular cognitive impairment from lacunar strokes often shows step-wise declines tied to new events.
#1 Brief episodes of confusion or mental fog
Short moments of disorientation or clouded thinking that clear quickly are among the earliest lacunar stroke warning signs. These transient episodes in arousal systems can predict larger events ahead.

🛡️ Practical Steps to Protect Your Brain Health
You can take control starting today. Here are evidence-based actions that research shows can slow small-vessel progression:
- Keep blood pressure consistently below 130/80 mmHg
- Aim for LDL cholesterol under 70 mg/dL if you have vascular risk factors
- Maintain tight blood sugar control if you have diabetes
- Follow a Mediterranean-style eating pattern rich in vegetables, fish, nuts, and olive oil
- Walk or do gentle strength training most days of the week
- Quit smoking and limit alcohol
- Discuss anti-platelet medication with your doctor if appropriate
📊 Lacunar Stroke Signs vs. Normal Aging vs. Other Conditions
| Aspect | Lacunar Stroke Signs | Normal Aging | Other Conditions (e.g., Arthritis, Alzheimer’s) |
|---|---|---|---|
| Onset | Sudden episodes or step-wise decline | Very gradual | Gradual or different pattern |
| Laterality | Often one-sided | Symmetric | Varies |
| Key features | Balance/gait issues, urinary urgency, central pain | Mild slowdown, occasional forgetfulness | Joint pain, primary memory loss |
| Response to vascular control | Often stabilizes or slows progression | Limited benefit | Different targeted treatments |
| Brain imaging | Small cavities, white matter changes | Minimal changes | Different patterns (atrophy, plaques) |
Final Thoughts
Recognizing these often-overlooked lacunar stroke warning signs—and acting early—offers the best chance to preserve mobility, cognition, and independence. Small, consistent steps toward better vascular health can make a meaningful difference.

Frequently Asked Questions
Are lacunar strokes the same as TIAs?
No. TIAs are temporary with no permanent damage, while lacunar strokes cause small areas of lasting injury—though symptoms can sometimes improve.
Can lacunar strokes be prevented completely?
While not every case can be prevented, aggressive management of blood pressure, cholesterol, diabetes, and lifestyle factors significantly reduces risk.
When should I see a doctor about these symptoms?
Any new or worsening neurological symptom—especially if sudden or one-sided—deserves prompt medical evaluation, including discussion of brain imaging.
This article is for informational purposes only and is not a substitute for professional medical advice. Always consult your healthcare provider about symptoms or concerns.




